라미네이트 가격, 부작용, 유지기간 – 시술 전 꼭 알아야 할 7가지
라미네이트, 하면 정말 치아가 망가질까요?
치아 미백, 벌어진 앞니 교정, 자연스러운 미소를 위해 라미네이트 시술을 고민하는 분들이 많습니다.
하지만 "라미네이트 부작용"이나 "치아 삭제 문제"에 대한 걱정도 많죠.
오늘은 24년 경력 치위생사가 직접 라미네이트의 모든 것을 알려드립니다.
✔ 라미네이트 시술 과정
✔ 라미네이트 유지기간 & 오래가는 방법
✔ 라미네이트 가격 & 병원 선택법
✔ 라미네이트 부작용 & 깨짐 방지법
라미네이트가 과연 나에게 맞는 시술인지 함께 확인해보겠습니다!

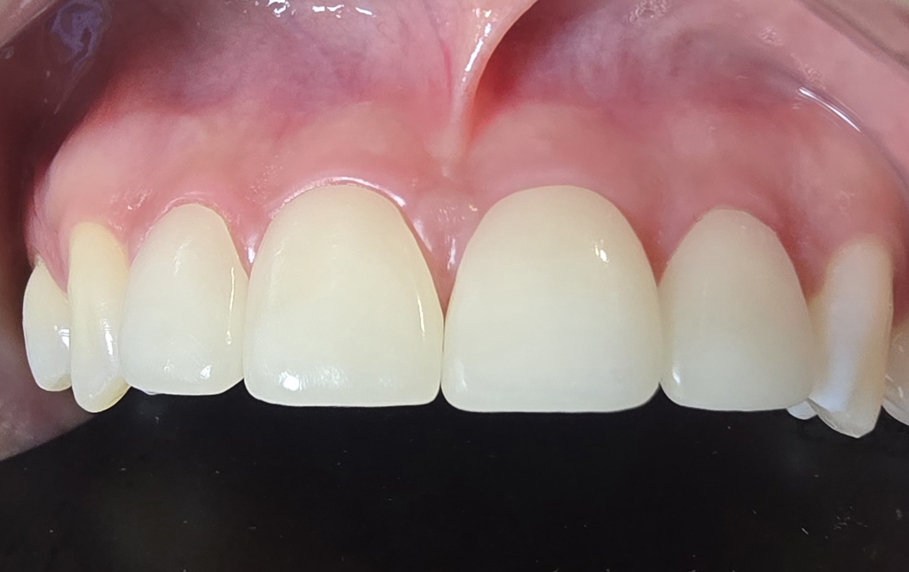
1. 라미네이트란? – 치아 성형의 대표적인 방법
라미네이트(Laminate)는 치아 앞면을 얇게 삭제한 후, 세라믹(도재) 쉘을 붙여 자연스럽게 교정하는 시술입니다.
✅ 이런 경우 라미네이트가 추천됩니다.
✔ 치아 색상이 심하게 변색되었을 때 (미백 효과 부족한 경우)
✔ 앞니 사이가 벌어져 있을 때 (치아 교정 없이 개선 가능)
✔ 치아 모양이 불규칙할 때 (비대칭, 작은 치아)
✔ 미소를 더욱 자연스럽게 만들고 싶을 때
하지만 무조건 모든 사람에게 적합한 것은 아닙니다!
라미네이트는 치아 삭제가 필요하며, 관리가 부족하면 깨질 위험도 있습니다.
→ 그래서 시술 전, 신중한 선택이 필요합니다.
---
2. 라미네이트 시술 과정 – 단 2~3번 내원으로 완성!
라미네이트 시술은 보통 2~3번 내원하면 끝납니다.
① 상담 & 디자인 결정
구강 상태를 검사하고, 치아 색상과 모양을 정밀 설계
개인 맞춤 디자인 적용 (색상 & 크기)
② 치아 표면 최소 삭제 (0.3~0.5mm)
치아를 최소한으로 삭제하여 라미네이트가 잘 부착되도록 함
⚠ 무삭제 라미네이트는 대부분 적용 불가! (부자연스러울 수 있음)
③ 임시 라미네이트 부착
본 라미네이트가 완성될 때까지 임시 치아 부착
이 기간 동안 불편함 체크 가능
④ 최종 라미네이트 접착
완성된 세라믹 라미네이트를 부착하고, 교합 조정
✅ 정확한 시술이 중요합니다!
원데이가능하고 믿고 맡기수 있는!
잘못된 라미네이트 시술은 접착력이 약해지고 탈락할 가능성이 커집니다.
→ 경험이 많은 병원을 선택하는 것이 핵심!
---
3. 라미네이트 가격 – 병원마다 왜 다를까?
라미네이트 비용은 병원마다 차이가 큽니다.
✅ 라미네이트 가격 범위
✔ 개당 50~150만 원 (소재 & 기술력에 따라 다름)
✔ 병원마다 기술력과 사용 재료 차이가 존재
✔ 저가 시술 시, 접착력 약하거나 깨질 가능성 있음
✅ 라미네이트 가격이 다른 이유
✔ 세라믹 품질 (고급 도재 vs 일반 도재)
✔ 의료진 숙련도 (경험 많은 병원일수록 비용 상승)
✔ 맞춤 디자인 여부 (자연스러운 색상 & 배열)
⚠ "저렴한 라미네이트" 유혹에 속지 마세요!
너무 저렴한 곳은 저품질 재료를 사용하거나 시술 후 문제가 발생할 가능성이 큽니다.
---
4. 라미네이트 유지기간 – 10년 이상 가능할까?
라미네이트는 잘 관리하면 10년 이상 유지할 수 있습니다.
✅ 라미네이트 오래가는 방법
✔ 딱딱한 음식(견과류, 얼음, 뼈 있는 고기) 피하기
✔ 정기적인 치과 검진 필수 (6개월~1년 주기)
✔ 이갈이 방지를 위한 나이트 가드 착용
✔ 올바른 양치법 & 치실 사용으로 플라그 제거
---
5. 라미네이트 부작용 – 이것만은 꼭 주의!
라미네이트는 잘못 시술되거나 관리가 부족하면 부작용이 발생할 수 있습니다.
⚠ 대표적인 라미네이트 부작용
❌ 치아 삭제 후 시린 증상
❌ 부착 후 깨짐 / 탈락 가능성
❌ 교합 문제 발생 가능
✅ 부작용을 최소화하는 방법
✔ 숙련된 의료진이 있는 병원 선택
✔ 치아 삭제량을 최소화하는 시술 선택
✔ 강한 충격을 피하고 정기 검진 받기
---
6. 라미네이트 vs 올세라믹 크라운 – 어떤 차이가 있을까?
라미네이트와 올세라믹 크라운은 치아 성형의 대표적인 방법입니다.
✅ 라미네이트가 적합한 경우
자연 치아를 최대한 보존하고 싶다면 라미네이트 추천!
✅ 올세라믹 크라운이 적합한 경우
충치가 있거나 치아가 약하다면 올세라믹 크라운 추천!
---
7. 결론 – 라미네이트, 신중하게 선택해야 합니다!
라미네이트는 자연스러운 미소를 완성할 수 있는 좋은 방법이지만,
치아 삭제가 필요하고 관리가 중요하기 때문에 신중한 선택이 필수입니다.
✅ 라미네이트 시술 전 체크리스트
☑️ 경험 많은 병원에서 상담 받았는가?
☑️ 치아 삭제량을 최소화할 수 있는가?
☑️ 내 치아 상태에 맞는 치료법을 선택했는가?
라미네이트에 대해 더 궁금한 점이 있다면 댓글로 질문 남겨주세요!
포스닉 컨설팅에서는 치아 건강과 병원 경영에 대한 정확한 정보를 제공합니다.
✔ 도움이 되셨다면 블로그 구독 & 공유 부탁드립니다!
'치아관련정보' 카테고리의 다른 글
| 🦷 스케일링이 치주질환 예방에 미치는 효과 – 과학적 통계로 보는 중요성 🦷 (0) | 2025.03.16 |
|---|---|
| 보험 임플란트, 지르코니아 vs. PFM 뭐가 더 좋을까? 치과 전문가가 정확히 알려드립니다!" (0) | 2025.03.15 |
| 구강유산균 (0) | 2025.02.04 |
| 치실의 중요성 (0) | 2025.02.03 |
| 사랑니 발치의 필요성 통증과 염증을 막는 현명한 선택 (0) | 2025.01.30 |